Некаріозні ураження зубів – це група захворювань та патологій до яких відносяться пошкодження твердих тканин зубів (емалі та дентину) небактеріального генезу.
Всі ці ураження поділяються на дві великі групи. До першої групи належать ті, що виникли до прорізування зубів (вроджені), а саме гіпоплазія та гіперплазія емалі, флюороз, «тетрациклінові зуби» (зустрічаються у близько 5-14% населення). Ураження, що виникли після прорізування зубів (набуті): травма, клиновидний дефект, ерозія , патологічне стирання та некроз емалі належать до другої групи (загальна поширеність таких захворювань становить 50-75%).
Для дітей характерними є некаріозні ураження, що виникають до прорізування зубів. Серед тих, що виникають після прорізування у дітей часто діагностують травматичні пошкодження твердих тканин як тимчасових, так і постійних зубів.
Серед некаріозних захворювань зубів у дітей гіпоплазія (недостатність кальцію) емалі – є «лідером». Гіпоплазія молочних зубів пов’язана із порушенням обмінних процесів в організмі вагітної жінки, перенесених інфекційних захворюваннях та токсикозах під час вагітності. Гіпоплазія постійних зубів пов’язана з порушенням обмінних процесів у дитячому організмі, недостатністю ендокринних залоз, недостатністю вітамінів А, С, D, а також кальцію та фосфору, вживання антибіотиків в перший рік життя, проживанням в умовах йодного та фтористого дефіциту навколишнього середовища, хімічного та радіаційного забруднення. Порушення можуть виникати в групі зубів, які формуються в один і той самий період (системна гіпоплазія), які формуються в різні періоди, але розміщені поруч (вогнищева гіпоплазія) або на одному зубі (місцева гіпоплазія). Найчастіше гіпоплазія проявляється у вигляді окремих плям білого кольору, які ніяк не турбують дитину, а є тільки естетичним недоліком. Лікування проводиться у стоматолога з використанням кальцієвмісних препаратів. За наявності більш виражених змін (ерозивно-деструктивна форма гіпоплазії) необхідне препарування та пломбування уражених зубів.
Гіперплазія емалі – захворювання зумовлене надмірним розвитком клітин епітелію (які є джерелом розвитку емалі) та проявляється у вигляді «крапель», що можуть досягати до 5 мм в діаметрі. Лікування таке захворювання не потребує, за винятком, якщо емалеві нарости спричиняють дискомфорт, проводять шліфування та вирівнювання поверхні емалі з наступним покриттям захисними препаратами, що містять кальцій.
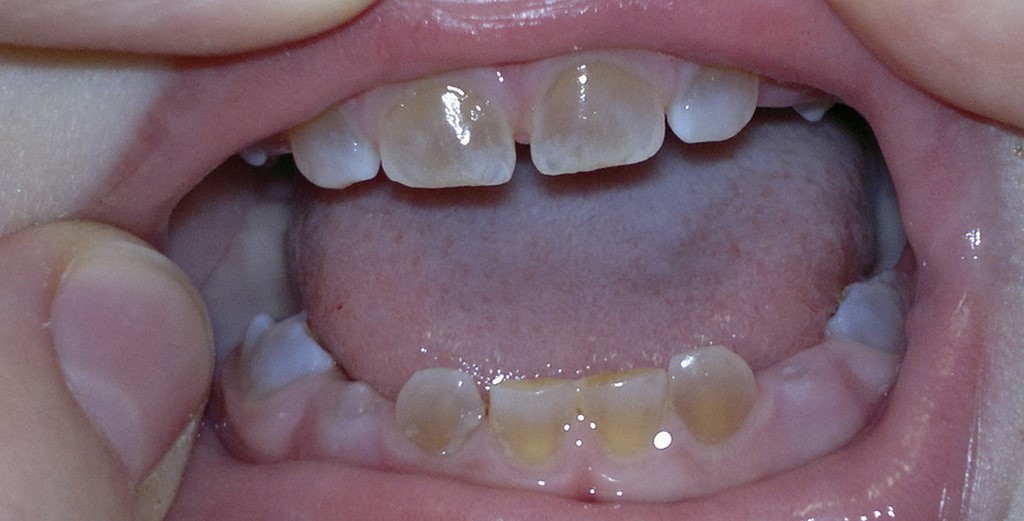
Флюороз (від лат. Fluorum – фтор) – захворювання, що розвивається в період формування зубної тканини через надмірну кількість фтору (який маю руйнівну дію для кальцію). Варто врахувати, що цей елемент швидко накопичується в організмі дитини. Як наслідок, емаль стає тонкою та руйнується, на зубах з’являються плями або смуги (бувають жовтими, білими й коричневими одночасно), іноді можуть виникнути ерозії (пошкодження) емалі. Також можливими є відколи або повне руйнування зубних тканин. Методика лікування флюорозу залежить від його форми. Рекомендують відбілювання та ремінералізацію. При необхідності зішліфовують верхній шар емалі. При утворенні ерозій зуби відновлюються реставраціями, вінирами або коронками. Важливо також контролювати кількість вживання фтору.
«Тетрациклінові зуби» – некаріозне ураження, що виникає як наслідок прийому антибіотиків тетрациклінового ряду матір’ю під час вагітності, або ж дитиною в перші роки життя. Як наслідок зуби набувають різноманітного забарвлення: від світло-рожевого до темно коричневого. Лікування: відновлення естетики.
Досить розповсюдженим некаріозним ураженням у дитячому віці є травма, механічне пошкодження твердих тканин зубів. Отримати травму можна при падінні, ударі, аварії, на спортивних змаганнях, при вживанні дуже твердої їжі та ін. Серед травматичних уражень розрізняють вивих, напіввивих, тріщину твердих тканин, перлом кореня чи коронки. Навіть за відсутності виражених больових відчуттів не варто зволікати з відвідуванням лікаря. Якщо утворилась тріщина в зубі бактерії швидко проникають всередину, запускаючи патогенні процеси.
Будь-якій хворобі краще запобігти. Тому потрібно приділити особливу увагу профілактиці некаріозних уражень:
- Раціональне харчування – в організм повинні надходити всі важливі для здорового розвитку зубів вітаміни, кальцій і фтор. Особливо важливим є правильний раціон для вагітних. Варто врахувати, що формування зачатків молочних зубів починається на ранніх термінах вагітності. Кислі продукти слід вживати в обмеженій кількості. Приймати будь-які ліки майбутній матері можна тільки з дозволу лікаря.
- Дотримання гігієни ротової порожнини. Зуби необхідно чистити двічі на день правильно підібраними (з допомогою стоматолога) гігієнічними засобами.
- Періодичне відвідування лікаря. Своєчасний візит до стоматолога дозволить виявити патологію на ранній стадії розвитку, що запобігає ускладненням та прискорює лікування.
- Щоб запобігти травмі зуба, варто уникати чинників, що її можуть викликати. В першу чергу потрібно відмовитися від шкідливих звичок: не можна гризти нігті, кусати тверді продукти тощо.
Оксана ГОДОВАНЕЦЬ
Тетяна МАНДЗЮК
















